Bulletin of Botanical Research ›› 2022, Vol. 42 ›› Issue (3): 403-411.doi: 10.7525/j.issn.1673-5102.2022.03.010
• Genetic and Breeding • Previous Articles Next Articles
Ying WANG, Yujie ZHANG, Zihui JIAO, Xueli LI, Kai WANG, Xiaowei DA, Kun SUN, Hui ZHANG(
)
Received:2020-06-11
Online:2022-05-20
Published:2022-05-20
Contact:
Hui ZHANG
E-mail:zhanghui@nwnu.edu.cn
About author:WANG Ying(1995—),female,graduate student,mainly engaged in systematic and evolutionary botany research.
Supported by:CLC Number:
Ying WANG, Yujie ZHANG, Zihui JIAO, Xueli LI, Kai WANG, Xiaowei DA, Kun SUN, Hui ZHANG. Preliminary Study on Cross Fertility in ‘Kushui’ Rose[J]. Bulletin of Botanical Research, 2022, 42(3): 403-411.
Add to citation manager EndNote|Ris|BibTeX
URL: https://bbr.nefu.edu.cn/EN/10.7525/j.issn.1673-5102.2022.03.010
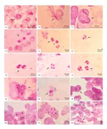
Fig.6
Meiosis process of pollen mother cells(1 000×)A.Meiosis process of KSRR pollen mother cells(a.Prophase Ⅰ;b.Metaphase Ⅰ;c.Anaphase Ⅰ;d.Telophase Ⅰ;e.Prophase Ⅱ;f.Metaphase Ⅱ;g.Telophase Ⅱ;h.Tetrad;I.Triad);B.Meiosis process of SJRR pollen mother cells(j.Prophase Ⅰ;k.Metaphase Ⅰ;l.Anaphase Ⅰ;m.Telophase Ⅰ;n.Telophase Ⅱ;o.Non-synchronism of meiosis)
| 1 | 胡超,郭春生,陈志燕,等.苦水玫瑰油的热解产物分析[J].农产品加工·学刊,2013(1):30-33,38. |
| HU C, GUO C S, CHEN Z Y,et al.Pyrolysis analysis of essential oil of Kushui rose[J].Academic Periodical of Farm Products Processing,2013(1):30-33,38. | |
| 2 | 马子骏,常毅,侯世昌.苦水玫瑰开花生物学的研究[J].甘肃科学学报,1990,2(2):32-36. |
| MA Z J, CHANG Y, HOU S C.Studies on flowering biology of Kushui rose[J].Journal of Gansu Sciences,1990,2(2):32-36. | |
| 3 | 李玉舒,张启翔.山东、甘肃地区玫瑰品种资源调查研究[C]//全国面向新世纪的花卉研究与生产技术开发学术研讨会.南京:中国园艺学会,2005:15-21. |
| LI Y S, ZHANG Q X.Investigation on rose variety resources in Shandong and Gansu provinces[C]//National Symposium on Flower Research and Production Technology Development for the New Century.Nanjing:Chinese Society for Horticultural Science,2005:15-21. | |
| 4 | 薛敦渊,陈宁,李兆琳,等.苦水玫瑰鲜花香气成分研究[J].植物学报,1989,31(4):289-295. |
| XUE D Y, CHEN N, LI Z L,et al.Studies on the chemical composition of the head space and essential oil of fresh flower of Ku-Shui rose(Rose setate × R.rugosa)[J].Acta Botanica Sinica,1989,31(4):289-295. | |
| 5 | 周围,周小平,赵国宏,等.中国苦水玫瑰油香气成分的研究[J].色谱,2002,20(6):560-564. |
| ZHOU W, ZHOU X P, ZHAO G X,et al.Studies of aroma components on essential oil of Chinese Kushui rose[J].Chinese Journal of Chromatography,2002,20(6):560-564. | |
| 6 | 周围,张雅珩,刘红卫.二维气相色谱/质谱分离分析中国苦水玫瑰精油中的复杂天然产物[J].化学通报,2011,74(9):857-860. |
| ZHOU W, ZHANG Y H, LIU H W.Separation and analysis of complicated natural products in essential oil of Chinese Kushui rose using two-dimensional gas chromatography/mass spectrometry[J].Chemistry,2011,74(9):857-860. | |
| 7 | 高雅,毛秀丽,王文胜.苦水玫瑰花生物活性成分的分析[C]//第三届全国香料香精化妆品专题学术论坛.上海:中国化工学会,2013:69-77. |
| GAO Y, MAO X L, WANG W S.Analysis of the bioactive components of Kushui rose[C]//The Third National Fragrance Cosmetics Academic Forum.Shanghai:The Chemical Industry and Engineering Society of China,2013:69-77. | |
| 8 | 张绍铃,吴巨友,吴俊,等.蔷薇科果树自交不亲和性分子机制研究进展[J].南京农业大学学报,2012,35(5):53-63. |
| ZHANG S L, WU J Y, WU J,et al.Advance in molecular mechanisms of self-incompatibility in Rosaceae fruit trees[J].Journal of Nanjing Agricultural University,2012,35(5):53-63. | |
| 9 | 白锦荣,张启翔,潘会堂,等.蔷薇属分子生物技术研究进展[J].西北林学院学报,2009,24(6):43-49. |
| BAI J R, ZHANG Q X, PAN H T,et al.Recent advances in molecular biotechnology of the Genus Rosa L.[J].Journal of Northwest Forestry University,2009,24(6):43-49. | |
| 10 | 李智,赵惠恩,李亚齐,等.蔷薇属植物远缘杂交的亲和性评价[J].广东农业科学,2015,42(8):29-37. |
| LI Z, ZHAO H E, LI Y Q,et al.Evaluation on compatibility of interspecific cross among several species of Rosa [J].Guangdong Agricultural Sciences,2015,42(8):29-37. | |
| 11 | 李玉舒.中国玫瑰种质资源调查及其品种分类研究[D].北京:北京林业大学,2006. |
| LI Y S.Studies on germplasm resources and cultivars classification of Rosa rugosa in China[D].Beijing:Beijing Forestry University,2006. | |
| 12 | 招雪晴,赵兰勇,张妮妮,等.‘重瓣玫瑰’和‘苦水玫瑰’的核型分析[J].山东林业科技,2007(5):46-47. |
| ZHAO X Q, ZHAO L Y, ZHANG N N,et al.Karyotype analysis of Rosa rugosa ‘Plena’ and Rosa rugosa ‘Kushui’ rose[J].Journal of Shandong Forestry Science and Technology,2007(5):46-47. | |
| 13 | 蹇洪英,张颢,李树发,等.蔷薇属植物的胞核学研究及其展望[J].西南农业学报,2009,22(1):207-211. |
| JIAN H Y, ZHANG H, LI S F,et al.Review on the karyological study of Genus Rosa L.[J].Southwest China Journal of Agricultural Sciences,2009,22(1):207-211. | |
| 14 | 葛蓓蓓.粉团蔷薇及‘春水绿波’月季雄配子可育性初步研究[D].郑州:河南农业大学,2016. |
| GE B B.Preliminary study on male gametophyte fertility of Rosa multiflora Thunb. and cultivar ‘Chunshui Lübo’[D].Zhengzhou:Henan Agricultural University,2016. | |
| 15 | 王玉蛟,刘建鑫,于晓南.三倍体芍药品种花粉母细胞减数分裂行为观察与比较[J].植物研究,2016,36(3):341-347. |
| WANG Y J, LIU J X, YU X N.Meiosis observation and comparison of pollen mother cells of triploid Paeonia lactiflora cultivars[J].Bulletin of Botanical Research,2016,36(3):341-347. | |
| 16 | RIESEBERG L H, WILLIS J H.Plant speciation[J].Science,2007,317(5840):910-914. |
| 17 | 曾喜育,吕福原,欧辰雄,等.花粉胚珠比与花药胚珠比:被子植物繁殖系统的参考指标[J].中华林学季刊,2008,41(2):265-282. |
| ZENG H Y, LÜ F Y, OU C X,et al.Pollen-ovule ratio and anther-ovule ratio:referable indicators of breeding systems in angiosperms[J].Quarterly Journal of Chinese Forestry,2008,41(2):265-282. | |
| 18 | 王琼,张启翔,潘会堂,等.4种栽培玫瑰花粉生活力研究[J].安徽农业科学,2010,38(14):7236-7237. |
| WANG Q, ZHANG Q X, PAN H T,et al.Studys on pollen viabilities of 4 rose cultivars[J].Journal of Anhui Agricultural Sciences,2010,38(14):7236-7237. | |
| 19 | 李懋学.植物染色体研究技术[M].哈尔滨:东北林业大学出版社,1991. |
| LI M X.Plant chromosome research techniques[M].Harbin:Northeast Forestry University Press,1991. | |
| 20 | 李玉舒,张启翔.中国玫瑰品种资源花粉形态的观察与比较[J].北方园艺,2009(8):179-182. |
| LI Y S, ZHANG Q X.Observations and comparisons on the pollen morphology of Rosa rugosa cultivars resources of China[J].Northern Horticulture,2009(8):179-182. | |
| 21 | BOŠKOVIĆ R I, SARGENT D J, TOBUTT K R.Genetic evidence that two independent S-loci control RNase-based self-incompatibility in diploid strawberry[J].Journal of Experimental Botany,2010,61(3):755-763. |
| 22 | 柏斌,杨承龙.兰州苦水玫瑰研究项目验收[EB/OL].中国园林网.(2017-06-09).. |
| BO B, YANG C L.Gansu Lanzhou Kushui rose research project acceptance [EB/OL].Chinese Landscape Architecture.(2017-06-09).. | |
| 23 | 陈敏,王园媛,黎霞,等.月季‘云粉’花粉母细胞减数分裂的初步研究[J].西南农业学报,2017,30(4):881-886. |
| CHEN M, WANG Y Y, LI X,et al.Observation on pollen mother cell meiosis of new rose cultivar,Rosa ‘Yunfen’[J].Southwest China Journal of Agricultural Science,2017,30(4):881-886. | |
| 24 | 罗玉兰,张冬梅,陈伟峰.野蔷薇一变种红刺玫的细胞学研究[J].武汉植物学研究,2008,26(6):561-566. |
| LUO Y L, ZHANG D M, CHEN W F.Study on the cytology of Rosa multiflora Thunb. var. cathayensis [J].Journal of Wuhan Botanical Research,2008,26(6):561-566. | |
| 25 | 陈瑶,汪卫星,李晓林,等.减数分裂过程中染色体行为的研究概况[J].南方农业,2008,2(2):74-76. |
| CHEN Y, WANG W X, LI X L,et al.An overview of chromosome behavior during meiosis[J].South China Agriculture,2008,2(2):74-76. | |
| 26 | 王文然,樊秀彩,王晨,等.果树雄性不育的研究进展[J].分子植物育种,2019,17(1):245-254. |
| WANG W R, FAN X C, WANG C,et al.Advances research on male sterility in fruit crops[J].Molecular Plant Breeding,2019,17(1):245-254. | |
| 27 | 申家恒,李伟,杨虹,等.辣椒大、小孢子发生与雌、雄配子体发育的研究[J].园艺学报,2007,34(6):1443-1452. |
| SHEN J H, LI W, YANG H,et al.Studies on the megasporogenesis,microsporogenesis and development of female and male gametophyte of Capsicum annuum L.[J].Acta Horticulturae Sinica,2007,34(6):1443-1452. | |
| 28 | 牛元,徐琼,庄健,等.4种变异苦水玫瑰形态和鲜花香气的分析[J].经济林研究,2017,35(4):248-253. |
| NIU Y, XU Q, ZHUANG J,et al.Analysis on morphology and aromatic composition of four varieties of Rosa rugosa ‘Kushui’[J].Nonwood Forest Research,2017,35(4):248-253. | |
| 29 | 柏斌,韩朝军.兰州育成苦水玫瑰新品种[J].中国花卉园艺,2017(9):54. |
| BO B, HAN Z J.A new variety of Kushui rose was bred in Lanzhou[J].China Flowers & Horticulture,2017(9):54. | |
| 30 | 牛元,王嵛德,庄健,等.玫瑰新品种‘兰州玫瑰2号’[J].园艺学报,2019,46(11):2269-2270. |
| NIU Y, WANG Y D, ZHUANG J,et al.A new rose cultivar ‘Lanzhou Rose 2’[J].Acta Horticulturae Sinica,2019,46(11):2269-2270. |
| [1] | DING Hai-Yan. Fast Manufacture of Meiotic Chromosome Specimens of the Plant Material [J]. Bulletin of Botanical Research, 2017, 37(5): 797-800. |
| [2] | WU Jie, ZHAO Yu-Ping, HE Xiang-Feng, WANG Wen-He, LENG Ping-Sheng, ZHANG Ke-Zhong. Cytological Study on Microspore Abortion in OT Hybrid Lily Cultivars ‘Cocossa’ [J]. Bulletin of Botanical Research, 2017, 37(1): 15-22. |
| [3] | WANG Yu-Jiao, LIU Jian-Xin, YU Xiao-Nan. Meiosis Observation and Comparison of Pollen Mother Cells of Triploid Paeonia lactiflora Cultivars [J]. Bulletin of Botanical Research, 2016, 36(3): 341-347. |
| [4] | LI Yun-Ling, TIAN Bao-Ming, YANG Yan, CUI Ming-Zhu, HAO Zhi-Da, WEI Fang. Molecular and Cytological analysis of Meiosis in Autotetraploid Arabidopsis thaliana [J]. Bulletin of Botanical Research, 2016, 36(3): 354-359. |
| [5] | ZHANG Bo;LI Li-Ping;MAO Wei-Bing;WANG Chang-Lan;CHEN Fa-Ju*. Development of Male and Female Gametophytes between Fertile Line and Male Sterile Line’s Flowers of Catalpa bungei C.A.Meyer. [J]. Bulletin of Botanical Research, 2015, 35(6): 812-818. |
| [6] | ZHANG De-Xing;HU Ling-Zhi;XIAO Wen-Ting;NI Xiao-Lu;HU Jiang-Qin*. Morphological and Anatomical Study on Female Sterility in Camptotheca acuminata Decne. [J]. Bulletin of Botanical Research, 2013, 33(5): 546-552. |
| [7] | YAN Xiao-Dan;ZHANG Yan-Ming;LI Ji-Lin*. Elytrigia Genome Structure of Hybrid Octoploid Trititrigia and Agropyron glaucum [J]. Bulletin of Botanical Research, 2010, 30(2): 197-201. |
| [8] | WANG Ying;LI Fu-Rong;GUAN Li-Ping;LI Feng-Lan*. Comparative Studies on the Development of Male and Female Gametophytes Between Fertile Line and Male Sterile Line’s Flowers of Tagetes erecta L. [J]. Bulletin of Botanical Research, 2009, 29(4): 391-396. |
| [9] | WU Ji-Ri;YAN Yi-Zi;QUAN Xue-Li;PIAO Jin;WU Song-Quan. Discovery and Identification of Male Sterility Platycodon grandiflorum Germplasm JXB-1 [J]. Bulletin of Botanical Research, 2008, 28(6): 716-719. |
| [10] | ZHANG Xin-Yu;WANG Zan;ZHAO Mao-Lin;GAO Hong-Wen*;LIU Dao-Lin. Observations on the Pollen Morphology and Meiosis of Pollen Mother Cell in Galega [J]. Bulletin of Botanical Research, 2008, 28(5): 540-546. |
| [11] | CHEN Xia;XING Lu-Lu;DING Hai-Yan;XU Ying-Bo;LI Ji-Lin*. Study on Meiosis Comparison of Pollen Grain of F1 Hybrided by Gametocidal Substitution Lines and Wheat [J]. Bulletin of Botanical Research, 2008, 28(4): 392-395. |
| [12] | LIU Feng-Qi;QU Min;ZHANG Yan-Ming;ZHANG Xue-Ting;LI Ji-Lin*. Cytogenetic Studies on the Cross-progenies Between Chinese Spring-Agilops 2C Disomic Addition and Chinese Spring-Elytriga Disomic Addition [J]. Bulletin of Botanical Research, 2007, 27(1): 89-93. |
| [13] | LI Ying-Ying;WEI You-Ying*;ZHANG Rui-Hua;LÜJie. Cytological investigation on microsporogenesis of male sterility of pepper [J]. Bulletin of Botanical Research, 2006, 26(4): 411-415. |
| [14] | ZHONG Li. Hybrids of wheat-rye substitution lines 5A/5R× 6A/6R by genome in situ hybridization [J]. Bulletin of Botanical Research, 2006, 26(4): 442-446. |
| [15] | WANG Heng-Chang, MENG Ai-Ping, LI Jian-Qiang, YE Qi-Gang. Investigation on meiosis of the rare and endangered plant——Calycanthus chinensis [J]. Bulletin of Botanical Research, 2004, 24(4): 431-433. |
| Viewed | ||||||
|
Full text |
|
|||||
|
Abstract |
|
|||||