Bulletin of Botanical Research ›› 2022, Vol. 42 ›› Issue (4): 637-646.doi: 10.7525/j.issn.1673-5102.2022.04.013
• Molecular biology • Previous Articles Next Articles
Xueying GUO1, Kailin ZHU2, Xin CHEN2, Xueqin FU1, Dongqin TANG1(
)
Received:2021-09-01
Online:2022-07-20
Published:2022-07-15
Contact:
Dongqin TANG
E-mail:dqtang@sjtu.edu.cn
About author:GUO Xueying(1998—),female,pastgraduate,mainly engaged in research on ornamental plants.
Supported by:CLC Number:
Xueying GUO, Kailin ZHU, Xin CHEN, Xueqin FU, Dongqin TANG. Karyotype and Cluster Analysis of Six Freesia hybrida Cultivars[J]. Bulletin of Botanical Research, 2022, 42(4): 637-646.
Add to citation manager EndNote|Ris|BibTeX
URL: https://bbr.nefu.edu.cn/EN/10.7525/j.issn.1673-5102.2022.04.013
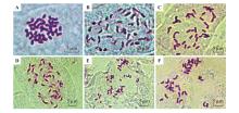
Table 1
Basic information of 6 cultivars of F. hybrida
| 编号Code | 品种 Cultivars | 花色 Flower color | 花型 Flower types | 来源 Origin | 亲本 Parents |
|---|---|---|---|---|---|
| 1 | ‘Gold River’ | 黄色 Yellow | 单瓣型 Single petal type | 荷兰 Netherlands | 未知 Unknown |
| 2 | ‘White River’ | 白色 White | 单瓣型 Single petal type | 荷兰 Netherlands | 未知 Unknown |
| 3 | ‘Castor’ | 蓝紫色 Blue violet | 单瓣型 Single petal type | 荷兰 Netherlands | 未知 Unknown |
| 4 | ‘SN Hongtaige’ | 深红色 Dark red | 重瓣型 Double petal type | 中国 China | ‘Red Lion’[ |
| 5 | ‘Pink Passion’ | 粉红色 Pink | 单瓣型 Single petal type | 荷兰 Netherlands | 未知 Unknown |
| 6 | ‘Red River’ | 红色 Red | 单瓣型 Single petal type | 荷兰 Netherlands | 未知 Unknown |
Table 2
The karyotype analysis of six cultivars of F. hybrida
品种 Cultivars | 染色体组编号 Chromosome number | 相对长度(L+S=T) Relative length /% | 臂比(L/S) Arm ratio | 着丝粒类型 Centromere type | 染色体编号 Chromosome number | 相对长度(L+S=T) Relative length/% | 臂比(L/S) Arm ratio | 着丝粒类型 Centromere type |
|---|---|---|---|---|---|---|---|---|
| ‘Gold River’ | 1 | 7.71+5.27=12.98 | 1.46 | m | 7 | 4.56+4.16=8.71 | 1.10 | m |
| 2 | 6.95+3.59=10.54 | 1.94 | m | 8 | 4.92+3.23=8.15 | 1.52 | sm | |
| 3 | 5.61+4.45=10.06 | 1.26 | sm | 9 | 4.60+3.11=7.71 | 1.48 | m | |
| 4 | 5.87+4.18=10.05 | 1.40 | m | 10 | 4.21+2.87=7.07 | 1.47 | m | |
| 5 | 6.35+3.33=9.68 | 1.90 | m | 11 | 3.18+2.97=6.15 | 1.07 | m | |
| 6 | 5.07+3.82=8.89 | 1.33 | sm | |||||
| ‘White River’ | 1 | 7.82+4.26=12.09 | 1.84 | sm | 7 | 5.26+3.67=8.93 | 1.43 | m |
| 2 | 6.96+4.58=11.54 | 1.52 | m | 8 | 5.54+3.14=8.68 | 1.77 | m | |
| 3 | 6.02+4.65=10.67 | 1.29 | m | 9 | 3.94+3.31=7.25 | 1.19 | m | |
| 4 | 6.11+3.60=9.70 | 1.70 | m | 10 | 3.52+3.16=6.68 | 1.12 | m | |
| 5 | 5.48+3.76=9.23 | 1.46 | m | 11 | 3.50+2.63=6.13 | 1.33 | m | |
| 6 | 5.15+3.96=9.11 | 1.30 | m | |||||
| ‘Castor’ | 1 | 8.59+4.84=13.42 | 1.77 | m | 7 | 5.13+3.13=8.26 | 1.64 | m |
| 2 | 7.49+3.33=10.81 | 2.25 | m | 8 | 4.29+3.52=7.81 | 1.22 | sm | |
| 3 | 5.97+4.71=10.68 | 1.27 | m | 9 | 4.12+3.58=7.70 | 1.15 | m | |
| 4 | 6.19+3.87=10.06 | 1.60 | sm | 10 | 4.52+2.86=7.38 | 1.58 | m | |
| 5 | 4.93+4.05=8.98 | 1.22 | sm | 11 | 3.45+2.79=6.24 | 1.24 | m | |
| 6 | 5.36+3.29=8.65 | 1.63 | m | |||||
| ‘SN Hongtaige’ | 1 | 7.98+5.18=13.16 | 1.54 | m | 7 | 5.22+2.91=8.13 | 1.79 | m |
| 2 | 7.51+4.24=11.75 | 1.77 | sm | 8 | 4.16+3.54=7.69 | 1.17 | m | |
| 3 | 5.70+4.75=10.45 | 1.20 | m | 9 | 4.43+2.81=7.24 | 1.57 | m | |
| 4 | 6.20+3.99=10.19 | 1.55 | m | 10 | 3.53+3.17=6.69 | 1.11 | m | |
| 5 | 6.41+3.15=9.55 | 2.03 | m | 11 | 3.91+2.54=6.45 | 1.54 | m | |
| 6 | 5.04+3.65=8.69 | 1.38 | m | |||||
| ‘Pink Passion’ | 1 | 7.83+5.81=13.64 | 1.35 | sm | 7 | 4.86+3.59=8.45 | 1.36 | m |
| 2 | 6.00+4.97=10.98 | 1.21 | m | 8 | 4.24+3.88=8.12 | 1.09 | m | |
| 3 | 6.21+3.94=10.14 | 1.58 | m | 9 | 4.49+2.97=7.46 | 1.51 | m | |
| 4 | 4.90+4.44=9.33 | 1.10 | m | 10 | 4.05+3.17=7.22 | 1.28 | m | |
| 5 | 5.64+3.57=9.21 | 1.58 | m | 11 | 3.58+3.23=6.81 | 1.11 | m | |
| 6 | 5.22+3.42=8.64 | 1.52 | m | |||||
| ‘Red River’ | 1 | 7.17+5.64=12.81 | 1.27 | m | 7 | 4.71+3.78=8.48 | 1.25 | m |
| 2 | 6.44+4.75=11.19 | 1.36 | m | 8 | 4.52+3.67=8.19 | 1.23 | m | |
| 3 | 7.03+3.92=10.95 | 1.79 | m | 9 | 4.78+2.71=7.49 | 1.77 | m | |
| 4 | 6.54+3.92=10.46 | 1.67 | sm | 10 | 3.49+3.16=6.65 | 1.10 | m | |
| 5 | 5.40+4.09=9.48 | 1.32 | m | 11 | 3.17+2.42=5.59 | 1.31 | m | |
| 6 | 4.97+3.73=8.70 | 1.33 | m | |||||
Table 3
Karyotype formulas and parameters of 6 cultivars of F. hybrida
品种 Cultivars | 核型公式 Karyotype formula | 染色体相对长度组成 Chromosome relative length composition | 核不对称系数 Asymmetrical karyotype coefficient /% | 染色体长度比 Chromosome length ratio | 平均臂比 Arm ratio average | 臂比大于2的比例 Scale of arm ratio>2 /% | 核型分类 Classification |
|---|---|---|---|---|---|---|---|
| ‘Gold River’ | 2n=4x=44=33m+11sm | 6L+18M1+15M2+5S | 59.07 | 2.62 | 1.47 | 6.82 | 2B |
| ‘White River’ | 2n=4x=44=1M+34m+9sm | 6L+15M1+14M2+9S | 59.30 | 2.21 | 1.46 | 2.27 | 2B |
| ‘Castor’ | 2n=4x=44=35m+9sm | 4L+23M1+14M2+3S | 60.05 | 2.60 | 1.52 | 6.82 | 2B |
| ‘SN Hongtaige’ | 2n=4x=44=32m+12sm | 8L+19M1+12M2+5S | 60.07 | 2.54 | 1.52 | 9.09 | 2B |
| ‘Pink Passion’ | 2n=4x=44=38m+6sm | 5L+23M1+13M2+3S | 57.00 | 2.71 | 1.35 | 2.27 | 2B |
| ‘Red River’ | 2n=4x=44=37m+7sm | 6L+16M1+16M2+6S | 58.22 | 2.84 | 1.42 | 4.55 | 2B |
Supplementary table 1 Chromosome and karyotype data of early taxa of the genus Freesia
物种名称 Species | 发现 Discovery | 染色体倍性 Chromosome ploidy | 核型参数 Karyotype parameters | 参考文献 Reference |
|---|---|---|---|---|
| F. refracta‘Fischer’ | Taylor(1926) | 二倍体Diploid | 首次报道染色体数目 Chromosome number first reported:2n=2x=22 | [ |
(1)F. x hybrida (2)F. refracta,F. alba(=F.muirii) F. caryophyllacea(=F.elimensis) F. cf. speciosa | (1)Lawrence(1945) (2)Goldblatt(1971) | 二倍体Diploid 三倍体Triploid 四倍体Tetraploid | 染色体数目 Chromosome number: 2n=2x=22, 2n=3x=33, 2n=4x=44. | [ |
| F. refracta | 王丽等(1988) | — | 首次报道具体核型情况,发现该种有6对亚中着丝粒染色体、4对中着丝粒染色体和1对端着丝粒染色体。 The specific karyotype was reported for the first time.It was found that the species had 6 pairs of subcentric chromosomes,4 pairs of metacentric chromosomes and 1 pair of terminal centromeric chromosomes. | [ |
| 1 | 丁苏芹,孙忆,李玺,等.小苍兰品种花色表型数量分类研究[J].北方园艺,2019(4):85-91. |
| DING S Q, SUN Y, LI X,et al.Study on the numerical classification of flower color phenotype in Freesia hybrida [J].Northern Horticulture,2019(4):85-91. | |
| 2 | MANNING J C, GOLDBLATT P, DUNCAN G D,et al.Botany and horticulture of the genus Freesia(Iridaceae)[M].South African National Biodiversity Institute,2010. |
| 3 | 陈诗林,黄敏玲.小苍兰品种间可溶性蛋白质及其亲缘关系分析[J].园艺学报,1997(3):100-102. |
| CHEN S L, HUANG M L.Soluble protein analysis and phylogenetic relationship of Freesia cultivars[J].Acta Horticulturae Sinica,1997(3):100-102. | |
| 4 | 尤平,郑哲民.五种棺头蟋核型的比较研究[J].昆虫学报,2001,4(1):40-45. |
| YOU P, ZHENG Z M.Comparative study of karyotypes in five Loxoblemmus species[J].Acta Entomologica Sinica,2001,44(1):40-45. | |
| 5 | 苏芸芸,王康才.不同产地藿香核型及似近系数聚类分析[J].核农学报,2017,31(6):1053-1060. |
| SU Y Y, WANG K C.Analysis of karyotypes and resemblance-near coefficients of agastache rugosa from different areas[J].Journal of Nuclear Agricultural Sciences,2017,31(6):1053-1060. | |
| 6 | 李晓莉,贺新桠,肖鑫辉,等.5个木薯品种染色体核型与聚类分析[J].热带作物学报,2019,40(1):79-86. |
| LI X L, HE X Y, XIAO X H,et al.Karyotype and cluster analysis of five cassava(Manihot esculenta Crantz) Varieties[J].Chinese Journal of Tropical Crops,2019,40(1):79-86. | |
| 7 | 谭培.两种扁穗雀麦核型分析与种子萌发期抗旱性研究[D].杨凌:西北农林科技大学,2017. |
| TAN P.Study on karyotype analysis and drought resistance of two rescue grass species(Bromus catharticus Vahl.)[D].Yangling:Northwest A & F University,2017. | |
| 8 | 龙海梅,张楠卿,李宗艳,等.金盏菊根尖细胞染色体制片与核型分析[J].浙江农业学报,2020,32(1):86-92. |
| LONG H M, ZHANG N Q, LI Z Y,et al.Study on chromosome technique of Calendula officinalis and its karyotype[J].Acta Agriculturae Zhejiangensis,2020,32(1):86-92. | |
| 9 | 杨东娟,李绪杰,唐泽君.迷迭香的染色体数目与核型分析[J].韩山师范学院学报,2018,39(6):27-31. |
| YANG D J, LI X J, TANG Z J.An analysis of the chromosome number and karyotype of Rosmarinus officinalis L.[J].Journal of Hanshan Teachers College,2018,39(6):27-31. | |
| 10 | 朱炜,陈启航,赵芮,等.芍药9个栽培品种核型多样性研究[C].//2018年中国观赏园艺学术研讨会.哈尔滨:中国园艺学会,国家花卉工程技术研究中心,2018:144-151. |
| ZHU W, CHEN Q H, ZHAO R,et al.Ploidy identification and karyotype analysis of nine Herbaceous Peony cultivars[C].Advances in Ornamental Horticulture of China,2018:144-151. | |
| 11 | YANG L H, ZHANG J J, TEIXEIRA DA SILVA J A,et al.Variation in ploidy and karyological diversity in different Herbaceous peony cultivar groups[J].Journal of the American Society for Horticultural Science American Society for Horticultural Science,2017,142(4):272-278. |
| 12 | 苏晓倩,王斐,胡凤荣.3个二倍体风信子品种核型分析[J].浙江农业学报,2019,31(9):1509-1515. |
| SU X Q, WANG F, HU F R.Karyotype analysis of 3 diploid Hyacinth cultivars[J].Acta Agriculturae Zhejiangensis,2019,31(9):1509-1515. | |
| 13 | 费昭雪,雷珊,崔苗苗,等.秦岭野生春兰和蕙兰染色体核型分析[J].林业科技通讯,2020(5):24-27. |
| FEI Z X, LEI S, CUI M M,et al.Karyotype analysis of wild Cymbidium goeringii and Cymbidium faberi from Qinling[J].Forest Science and Technology,2020(5):24-27. | |
| 14 | TAYLOR W R.Chromosome morphology in Fritillaria,Alstroemeria,Silphium,and other genera[J].American Journal of Botany,1926,13(3):179-193. |
| 15 | GOLDBLAT P.Systematics of Freesia Klatt(Iridaceae)[J].Journal of South African Botany,1982,48(1):39-92. |
| 16 | 王丽,卜秀玲.香雪兰染色体组型的研究[J].东北师大学报(自然科学版),1988(03):93-95. |
| WANG L, PU X L.Karyotypic study of Freesia refracta Klatt[J].Journal of Northeast Normal University(Natural Science Edition),1988(3):93-95. | |
| 17 | 孙桂芳,赵艺璇,杨建伟,等.秋英属植物核型分析[J].河北大学学报(自然科学版),2019,39(4):412-420. |
| SUN G F, ZHAO Y X, YANG J W,et al.Karyotype analysis of different varieties of Cosmos [J].Journal of Hebei University(Natural Science Edition),2019,39(4):412-420. | |
| 18 | 张力鹏,郏书行,徐仲凯,等.6个金银花栽培品种的核型分析[J].北方园艺,2017,(6):103-107. |
| ZHANG L P, JIA S H, XU Z K,et al.Karyotype analysis of six cultivars of Lonicera japonica Thunb[J].Northern Horticulture,2017,(6):103-107. | |
| 19 | 刘慧民,陈雅君,吕贵娥,等.17种绣线菊核型特征及核型参数分析[J].园艺学报,2010,37(9):1456-1462. |
| LIU H M, CHEN Y J, LÜ G E,et al.Karyotype features of 17 species of Spiraea and karyotype parameters analysis[J].Acta Horticulturae Sinica,2010,37(9):1456-1462. | |
| 20 | WONGCHAOCHANT S,DOI M, IMANISHI H.Phylogenetic classification of Freesia spp.by Morphological and physiological characteristics and RAPD markers[J].Journal of the Japanese Society for Horticultural Science,2002,71(6):758-764. |
| 21 | 孙忆,丁苏芹,史益敏,等.15个小苍兰品种的花粉形态研究[J].植物研究,2019,39(1):17-26. |
| SUN Y, DING S Q, SHI Y M,et al.Pollen morphology of 15 cultivars of Freesia hybrida [J].Bulletin of Botanical Research,2019,39(1):17-26. | |
| 22 | 吴晨炜,周凌瑜,王秀丽,等.小苍兰种质遗传多样性的ISSR分析[J].植物研究,2009,29(3):357-361. |
| WU C W, ZHOU L Y, WANG X L,et al.ISSR analysis of genetic diversity in Freesia refracta germplasm[J].Bulletin of Botanical Research,2009,29(3):357-361. | |
| 23 | TANG D Q, SUN Y, LI X,et al.De novo sequencing of the Freesia hybrida petal transcriptome to discover putative anthocyanin biosynthetic genes and develop EST-SSR markers[J].Acta Physiologiae Plantarum,2018,40(9):168. |
| 24 | 鲜恩英,刘兰,李勇,等.西藏两种蔷薇科藏药植物染色体核型分析[J].中国民族医药杂志,2014,20(10):37-39. |
| XIAN E Y, LIU L, LI Y,et al.The karyotype analysis of two Tibetan medicinal plant of rosaceae from Tibet[J].Journal of Medicine and Pharmacy of Chinese Minorities,2014,20(10):37-39. | |
| 25 | 唐东芹,秦文英.小苍兰新品种‘上农红台阁’[J].园艺学报,2012,39(10):2097-2098. |
| TANG D Q, QIN W Y.A new cultivar of Freesia × hybrida ‘Shangnong Hongtaige’[J].Acta Horticulturae Sinica,2012,39(10):2097-2098. | |
| 26 | 李懋学,陈瑞阳.关于植物核型分析的标准化问题[J].武汉植物学研究,1985,3(4):297-302. |
| LI M X, CHEN R Y.A suggestion on the standardization of karyotype analysis in plants[J].Journal of Wuhan Botanical Research,1985,3(4):297-302. | |
| 27 | LEVAN A, FREDGA K, SANDBERG A A.Nomenclature for centromeric position on chromosomes[J].Hereditas,1964,52(2):201-220. |
| 28 | KUO S R, WANG T T, HUANG T C.Karyotype analysis of some Formosan gymnosperms[J].Taiwania,1972,17(1):66-80. |
| 29 | ARANO H.Cytological studies in subfamily carduoideae(composite) of Japan.[J].The Botanical Magazine Tokyo,1963,76(905):419-427. |
| 30 | STEBBINS G L.Chromosomal evolution in higher plants[M].London:Edward Arnold,1971:87-90. |
| 31 | 彭海英.花楸属部分植物形态与核型研究[D].南京:南京林业大学,2016. |
| PENG H Y.Morphological and cytological research on species in Sorbus L.[D].Nanjing:Nanjing Forestry University,2016. | |
| 32 | 王丽平.黄杨属五种植物的核型分析[D].南京:南京林业大学,2010. |
| WANG L P.Karyotype analysis on five species of genus Buxu [D].Nanjing:Nanjing Forestry University,2010. | |
| 33 | 盛璐.铁钱莲属16种植物的核型分析[D].南京:南京林业大学,2011. |
| SHENG L.Karyotype analysis on sixteen species of genus Clematis [D].Nanjing:Nanjing Forestry University,2011. | |
| 34 | 苏庆祥.25种柱花草染色体核型与亲缘关系分析[D].海口:海南大学,2018. |
| SU Q X.Analysis of karyotypes and genetic relationships of Stylosanthes [D].Haikou:Hainan University,2018. | |
| 35 | WANG L. Freesia(Freesia×hybrida)[M]//ANDERSON N O.Flower breeding and genetics:issues,challenges,and opportunities for the 21st century.Dordrecht:Springer,2007:665-693. |
| 36 | 陈瑞阳,宋文芹,李秀兰.中国主要经济植物基因组染色体图谱:第3册[M].北京:科学出版社,2003:1-152. |
| CHEN R Y, SONG W Q, LI X L.Chromsome Atlas of major economic plants genome in China(Third)[M].Beijing:Science Press,2003:1-152. | |
| 37 | 郭玉洁,张响,郭明阳,等.6种鼠尾草属植物的核型分析[J].河北农业大学学报,2018,41(5):90-93,123. |
| GUO Y J, ZHANG X, GUO M Y,et al.Karyotype analysis of six species of Salvia L. [J].Journal of Agricultural University of Hebei,2018,41(5):90-93,123. | |
| 38 | 姚启伦,陈发波,何章帅,等.基于染色体核型的玉米地方品种聚类分析[J].河南农业科学,2017,46(6):34-38. |
| YAO Q L, CHEN F B, HE Z S,et al.Cluster analysis of Maize Landraces based on karyotype parameters[J].Journal of Henan Agricultural Sciences,2017,46(6):34-38. |
| [1] | Shujun ZHNAG, Xinxin YANG, Jian LUO. Micromorphological Characteristics of Pollen and Its Taxonomic Significance of Saussurea in Sedgera Mountains of Tibet [J]. Bulletin of Botanical Research, 2023, 43(5): 741-755. |
| [2] | Xiayu HU, Yuping LIU, Xu SU, Ping YANG, Yanan WANG. Chromosome Number and Karyotype Analysis of Different Populations in Sophora alopecuroides (Fabaceae) [J]. Bulletin of Botanical Research, 2023, 43(1): 9-19. |
| [3] | Jiawei XIAO, Yingjia WANG, Wenxuan HUANG, Weiping LI, Gongping KANG. Supplementary Description on Morphology and Cytology of Aster longipetiolatus C.C.Chang (Asteraceae) [J]. Bulletin of Botanical Research, 2022, 42(5): 741-745. |
| [4] | Yi-Lan CHEN, Hai-Min LIAO, Zheng-Feng WANG, Xiang-Xun HUANG, Dong-Ming LIU. Chromosome Preparation and Karyotype Analysis of Cordia subcordata [J]. Bulletin of Botanical Research, 2021, 41(5): 684-689. |
| [5] | Yan-Ci LI, Nai-Feng FU, Jia-Zhi SUN, Yan XIAO, Jian-Guo CAO, Dai-Ke TIAN. Intraspecific Phenotypic Diversity in Begonia grandis [J]. Bulletin of Botanical Research, 2021, 41(5): 775-788. |
| [6] | YANG Bin, MENG Qing-Yao, ZHANG Kai, DUAN Yi-Zhong. Chloroplast Genome Characterization and Identification of Genetic Relationship of Relict Endangered Plant Amygdalus nana [J]. Bulletin of Botanical Research, 2020, 40(5): 686-695. |
| [7] | LI Xiang, FAN Zuo-Yi, WANG Jing-Yuan, WANG Qi, LI Xi-Peng, WANG De-Qiu, KONG Ling-Yuan, CAO Sen-Lin, MENG Qing-Gang, ZHAO Xi-Yang. Codon Usage Bias of Chalcone Synthase Gene CHS in Pinus koraiensis [J]. Bulletin of Botanical Research, 2020, 40(3): 447-457. |
| [8] | SHEN Lin, YU Jing, LI Dan-Dan, GUO Shui-Liang. Geographical Elements of Bryophytes Recorded from Zhoushan Archipelago——Discussion on Methods of Geographical Element Division of Bryophytes [J]. Bulletin of Botanical Research, 2019, 39(6): 826-834. |
| [9] | DUAN Yi-Zhong, DU Zhong-Yu, WANG Hai-Tao. Chloroplast Genome Characteristics of Endangered Relict Plant Tetraena mongolica in the Arid Region of Northwest China [J]. Bulletin of Botanical Research, 2019, 39(5): 653-663. |
| [10] | GUO Wen-Li, LI Yi-Liang, ZHAO Fen-Cheng, TIE Jun, LIAO Fang-Yan, ZHONG Sui-Ying, LIN Chang-Ming, YE Wei-Fang. Phenotypic Genetic Diversity of Pinus elliottii×P.caribaea Morelet var. hondurensis Clones [J]. Bulletin of Botanical Research, 2019, 39(2): 259-266. |
| [11] | SUN Yi, DING Su-Qin, SHI Yi-Min, TANG Dong-Qin. Pollen Morphology of 15 Cultivars of Freesia hybrida [J]. Bulletin of Botanical Research, 2019, 39(1): 17-26. |
| [12] | YANG Liu-Hui, ZHANG Jian-Jun, WANG Qi, ZHU Wei, ZHANG Teng, YU Xiao-Nan. Ploidy Identification and Karyotype Analysis of Five Itoh Hybrid Peonies [J]. Bulletin of Botanical Research, 2017, 37(4): 535-541. |
| [13] | CHOU Huan-Huan, TANG Hong. Interspecific Relationship among the Wild Species of Paeonia Sect. Moutan DC with ITS and matK Sequence [J]. Bulletin of Botanical Research, 2017, 37(4): 603-612. |
| [14] | ZOU Man-Yu, LU Yong-Liang, YIN Li-Ping, GUO Shui-Liang. Morphological Variations, Genetics and Geographic Background of Echinochloa crus-galli in China [J]. Bulletin of Botanical Research, 2017, 37(2): 227-235. |
| [15] | DU Qing-Xin, LIU Pan-Feng, WEI Yan-Xiu, QING Jun, DU Hong-Yan. Comprehensive Evaluation of Eucommia ulmoides Male Flowers Quality by Principal Component and Cluster Analysis [J]. Bulletin of Botanical Research, 2016, 36(6): 846-852. |
| Viewed | ||||||
|
Full text |
|
|||||
|
Abstract |
|
|||||